
Heartbeat Ultrasound
Starting as early as 6 weeks!
Confirm Your Pregnancy
Using state-of-the-art ultrasound equipment, we can now provide abdominal pregnancy ultrasounds as early as 6 weeks into pregnancy, sooner than any hospital or OBGYN office in Wisconsin. Confirm your pregnancy here at You Kiss We Tell with our Heartbeat Ultrasound.
Feeling anxious? Put your mind at ease with a quick Heartbeat Ultrasound. We offer maximal convenience with our 10-minute scan where we check in on your little peanut and listen to the sound of their precious heartbeat. Ask one of our highly trained sonographers about live streaming your ultrasound for family and friends or get all digital images and recording sent to your phone. Pair your Heartbeat Ultrasound with our Sneakpeek Gender Clincal Test to receive the ultrasound for 50% off!
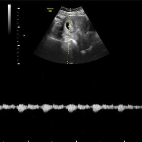
6 Week Ultrasound
7 Week Ultrasound
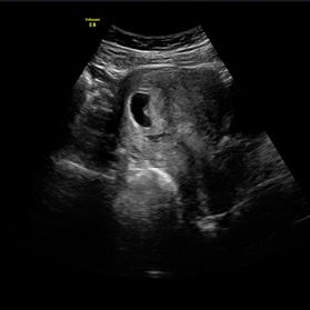
8 Week Ultrasound
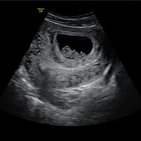
9 Week Ultrasound
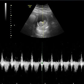
10 Week Ultrasound
What To Expect
While you're laying comfortably on our Tempur-Pedic scanning bed, a technician will apply heated gel to your belly that helps carry sound waves to make the image clearer. Then, the technician will pass a probe over your belly that will bounce sound waves (inaudible to human ears) off your internal tissue. Your baby's image will be displayed on our 110" screen for your viewing. There may be times when we ask you to sit still or hold your breath in order to get the highest quality images, but in general, we are less clinical and more focused on the fun parts of an ultrasound. We book our appointments for more than enough time, so everyone feels relaxed and not rushed. Receive all of your images and a recording sent directly to your phone or live stream your ultrasound for family and friends from afar. You Kiss We Tell Ultrasound is continually investing in the safest, most cutting edge, state-of-the-art equipment that is trusted and preferred by our industry’s professionals, ensuring that we provide the highest quality ultrasound images.
Important
Ultrasounds provided by You Kiss We Tell have NO medical purpose and no medical reports are provided. Our only intent is to allow you and your family to share an unforgettable experience with your baby.
Policy
We require you to be under prenatal care with an OBGYN or Midwife to receive our Elective Pregnancy Ultrasound services. A simple email, previous ultrasound or anything indicating you are under prenatal care will work. In the unfortunate circumstance that we find a fetus without a beating heart, you will be refunded in full no questions asked. If we call the wrong gender, you will be refunded in full no questions asked, as well as a free 3D/4D/HD Ultrasound. If your DNA Gender Test is wrong, you get a full refund. If baby is shy for their 3D/4D/HD scan, we may have you come back for a free scan within two weeks.
Learn More About Our Services
Return to the home page by clicking here. If you have questions about any of our services, including our Gender Reveal Ultrasound, Pregnancy Massages, 8K Ultrasound Image, 3D/4D/HD Ultrasound and Blood Tests, feel free to reach out to us during our business hours at 920-840-0536. If you’re unable to reach us after hours, you can always fill out a form on our Contact Us page, and one of our friendly and experienced staff members will get back to you as soon as possible. If you are interest in Ultrasound Training you can learn more here. To view our pricing for services like gender testing, ultrasound photo prints, customized heartbeat jewelry, live streaming, and more, visit our Services page.



























































